Как и следует из общего названия группы данных заболеваний, к ней относятся болезни зубов, имеющие некариозное происхождение, т.е. болезни, возбудителями которых не являются представители бактериальной микрофлоры ротовой полости человека. К таким болезням относятся все повреждения эмали, дентина или цемента, возникающие вследствие иных причин и имеющие наследственный, врожденный или приобретенный характер.
Болезни зубов некариозного происхождения могут обладать различным набором клинических признаков, иметь самые разные причины возникновения и характер развития, затрагивать один отдельный зуб или все зубные ряды (генерализация), а также могут (в зависимости от стадии развития) поражать определенные участки зубов в соответствующем заболеванию хронологическом порядке и т.д.
| Консультация специалиста | 300 руб. |
| Запись на консультацию по тел. 8 (8142) 70-92-92 | |
Несмотря на многочисленные исследования и довольно долгий период изучения различных заболеваний зубов некариозного происхождения, данная группа заболеваний все еще изучена не в должной степени и довольно часто данный факт существенно затрудняет постановку точного диагноза пациенту, что влечет за собой назначение неправильного лечения и набора профилактических мероприятий.
К наиболее распространенным заболеваниям данной группы относятся:
Давайте более подробно остановимся на каждом из них и перечислим характерную для того или иного заболевания симптоматику, возможные причины возникновения и методы лечения.
Клиновидный дефект
Свое название данное патологическое изменение получило из-за формы дефекта твердых тканей зуба имеющей вид клина. Чаще всего клиновидный дефект встречается у людей среднего и пожилого возраста и, по мнению ряда ученых, является одним из клинических проявлений пародонтита и возникает как следствие обнажения шейки зуба. Однако прямой связи между ними до сих пор не установлено. Клиновидный дефект тяготеет к локализации у шеек зубов обеих челюстей, на губных и щечных поверхностях.
В качестве наиболее вероятной причины возникновения рассматриваются механические повреждения (последствия неправильной чистки зубов зубной щеткой, а также естественное истирание твердых тканей фронтальных зубов в результате жевания). Есть мнение, что клиновидный дефект может вызываться кислотами. Однако нужно учитывать, что поступающие в ротовую полость кислоты в значительной степени катализируют уже начавшиеся в организме процессы истирания тканей зуба у шейки.
В большинстве случае клиновидный дефект не сопровождается болевыми ощущениями. Дефект прогрессирует медленно и будет ли он сопровождаться повышенной чувствительностью к химическим, механическим и температурным раздражителям зависит, прежде всего, от скорости убывания твердых тканей зуба – если заместительный дентин откладывается интенсивно, то боли не возникает.
Лечение клиновидного дефекта на ранних стадиях сводится к мерам по стабилизации процесса (назначаются лекарственные препараты, которые повышают резистентность твердых тканей зуба, рекомендуется применение мягких зубных щеток и содержащих фтор паст).
Наличие ярко выраженных дефектов применяется пломбирование, а в еще более сложных случаях – изготовление искусственных коронок.
Записаться на консультацию можно по тел: 8 (8142) 70-92-92
Гипоплазия эмали
Данное заболевание является прямым следствием нарушения минерализации зубной эмали, что и приводит к ее недоразвитию. Гипоплазия эмали бывает как врожденной, так и приобретенной и если в первом случае она связана с наследственными дефектами ее строения, то во втором – она, чаще всего, вызвана рахитом, приводящим к нарушению минерализации в организме.
Гипоплазия эмали не сопровождается болевыми ощущениями, кроме случаев аплазии (полного отсутствия эмали на зубе). Местное лечение сводится к назначению паст, содержащих все необходимые минералы и фторсодержащий лак. На более тяжелых стадиях – шлифовка, композиты, виниры, люминиры, коронки. Общее лечение – это, прежде всего, лечение вызвавших гипоплазию эмали заболеваний.
Записаться на консультацию можно по тел: 8 (8142) 70-92-92
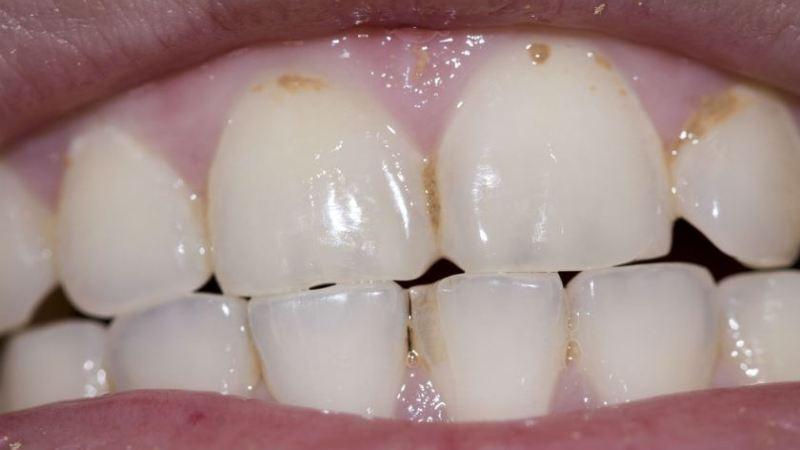
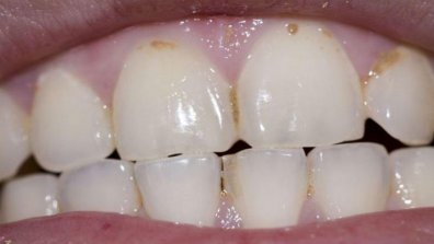
Патологическая стираемость зубов
Стирание зубов может приводить к полному стачиванию коронки зуба. Довольно часто причина кроется в неправильном прикусе, когда основная нагрузка приходится на боковую, а не на жевательную поверхность зуба, которая значительно хуже приспособлена к измельчению пищи. В качестве менее распространенных причин указывают воздействие кислот, щелочей и других агрессивных веществ, а также нарушение минерального обмена. Лечение патологической стираемости зубов направлено на устранение выявленных дефектов доступными врачу методами.
Записаться на консультацию можно по тел: 8 (8142) 70-92-92
Патологическая эрозия
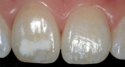
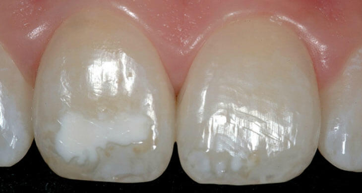
Эрозия эмали зубов — это поражение зубной эмали, в некоторых случаях затрагивающее и дентин. Это заболевание зубов имеет некариозное происхождение, иногда являясь следствием прорезывания зубов. Чаще всего оно вызвано процессами деминерализации в организме пациента.
Эрозия эмали выглядит как потускневшие под действием деминерализации пятна округлой или овальной (часто просто неправильной формы) в твердых тканях зуба. Чаще всего, они симметрично расположены на щечной или фронтальной поверхности одноименных зубов (наиболее уязвимы клыки и премоляры верхней и нижней челюсти, а также резцы верхней челюсти), при этом различают три степени эрозии зубной эмали по глубине поражения твердых тканей зуба.
В качестве лечения на начальной стадии проводится реминерализирующая терапия, но чаще всего, пациенты обращаются в клинику уже на более поздних стадиях, когда дефект успевает распространиться и на твердые ткани зуба (как по всей его поверхности, так и в глубину). С увеличением глубины распространения заболевания проблема перестает быть исключительно эстетической – приемы пищи начинают регулярно сопровождаться болезненными ощущениями, а также зубы начинают болеть на холоде. Реминерализирующая терапия видимого эффекта на этой стадии уже не даст, потребуется нечто более действенное – пломбы, виниры или коронки.
Записаться на консультацию можно по тел: 8 (8142) 70-92-92


