Вы решили поставить брекеты в Петрозаводске?
Специалисты клиники «Лайт» будут рады вам в этом помочь!
Брекеты давно перестали быть непременным атрибутом подростка-неудачника, «гадкого утенка» из голливудского фильма. В наше время они превратились в модный аксессуар для гарантированного выравнивания зубов и получения правильного прикуса.
Удивительно - это миниатюрное приспособление способно не только изменить расположение ваших зубов, но и сбалансировать черты лица! При исправлении глубокого дистального прикуса, например, полностью пропадет подбородочная складка и сутулость, а при лечении мезиального прикуса к вам вернется изящная форма верхней губы (сказанное справедливо и для взрослого пациента), а вместе с ней и четкая дикция. Победа над открытым прикусом дополнительно избавит вас от ротового дыхания.
Зачастую установка брекетов способствует нормализации работы пищеварительной системы и излечению пациента от язвы желудка, дискомфорта и раздражающих щелчков в височно-нижнечелюстной суставной области, головных болей неустановленного происхождения.
Таким образом, установка брекетов значительно более функциональна и полезна, чем это можно было бы себе представить первоначально, не обладая всей вышеприведенной информацией.
Брекеты – основные принципы работы брекет-систем
Основа брекет-системы – это выравнивающая металлическая дуга, идущая от зуба к зубу, закрепленная с помощью крохотных замочков, которые фиксируются прямо на зубной эмали с помощью бесцветного и безопасного для здоровья человека клея. Дуга медленно распрямляется по алгоритму, заложенному в нее квалифицированным ортодонтом, что приводит к выравниванию зубов и исправлению прикуса.
В отличии от применяемого в большинстве российских клиник слепого метода прямой фиксации брекетов в полости рта, подразумевающего приклеивание брекетов «на глазок», мы применяем прогрессивный метод непрямой фиксации, разработанный и широко используемый итальянскими и французскими ортодонтами. Имея на руках все необходимые снимки зубов пациента, а также их 3D-модель, мы получаем возможность безукоризненно точно расчертить каждый зуб и поставить брекет-систему максимально точно, причинив клиенту минимум неудобств.
Среди несомненных плюсов данного метода следует отметить:
- краткость процедуры установки – пациент проводит в кресле в зафиксированном виде меньше времени;
- снижается потребность в переклейках и изгибах брекетов, что существенно снижает общее время лечения и срок ношения брекетов;
- меньшее количество «неожиданностей» и более стабильный результат лечения;
- повышенный комфорт в течение всего времени ношения брекетов.
В нашей клинике мы чаще всего устанавливаем пациентам прекрасно себя зарекомендовавшие брекет-системы «Damon» - наиболее эстетичные и эффективные из представленных на отечественном рынке.
Лингвальные брекеты
Основным отличием лингвальных брекетов является то, что они крепятся не на внешнюю, а на внутреннюю сторону зубного ряда. Само исправление прикуса проходит по тому же принципу, что и в случае с вестибулярными (наружными) брекетами, а в качестве основного отличия следует указать более трудоемкую гигиену ротовой полости.
Многие взрослые пациенты несмотря ни на что все равно стесняются ставить себе брекеты. В этом случае установка лингвальных брекетов - отличное решение для них. Однако следует понимать, что лингвальные брекеты применяются только в случае легких патологий прикуса и целесообразность их применения в каждом конкретном случае это предмет консультации у врача-ортодонта.
Микроимпланты
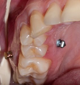
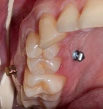
Одной из двух основных областей использования микроимплантов в ортодонтии является создание надежной опоры при перемещении зубов в заданном направлении при исправлении прикуса во время лечения брекетами. Применяемые для этого микроимпланты получили название ортодонтических. Они служат надежными помощниками при ортодонтическом лечении и позволяют сделать его более комфортным и точным, но менее травматичным для пациента.
Принцип ортодонтического лечения заключается в приложении силы к неправильно размещенным зубам с тем, чтобы заставить их плавно переместиться в нужном направлении. Для того чтобы сила была приложена в точно выверенном направлении врачу потребуется точка опоры и именно такой точкой опоры служат микроимпланты – изготовленные из медицинского биологически совместимого титана винтики диаметром около 1-1,2 мм внешне похожие на саморезы со специальной головкой ввинчиваемые непосредственно в кость.
Распространенные случаи применения микроимплантов:
- аномалии II и III класса;
- случаи ретенции зубов;
- искривление окклюзионной плоскости;
- открытый прикус;
- необходимость выпрямления, ретракции, протракции зубов;
- сегментарная интрузия и экструзия зубов и многие другие случаи.



